Лечение подвижных зубов
Подвижные зубы – это проявление заболеваний пародонта (пародонтоза и пародонтита). Это острые воспалительные процессы тканей пародонта, костной ткани, из-за которых и образовывается эффект подвижных зубов.
Если вы чувствуете, что ваши зубы шатаются, – это первый признак возникновения заболеваний тканей пародонта.
Одним из самых доступных и практичных методов лечения двигающихся зубов является шинирование. Шинирование – это специальное протезирование зубного ряда, где шина объединяет здоровые и подвижные зубы в единую конструкцию, уменьшая тем самым нагрузку на ткани пародонта. Благодаря этому улучшается кровообращение внутри ротовой полости и снимается воспаление десен.
Существует большое количество шинирующих конструкций. Они бывают временными и постоянными, съемными и несъемными. По материалу изготовления различают металлические, полиэтиленовые, керамические, стекловолоконные, кевларовые шины. Для изготовления мостовидных адгезивных протезов используются готовые арматурные элементы: балки, штифты, микрозамки и т.п.
![]() |
![]() |
![]() |
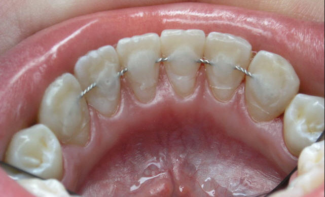
Временное шинирование подвижных зубов, как правило, производится для закрепления лечебного эффекта в период проведения терапевтических процедур и хирургических операций. Шины в этом случае представляют собой проволочную или пластмассовую конструкцию и накладываются на срок от 2-3 недель до 4-5 месяцев даже в том случае, если зуб не шатается. Дело в том, что после воздействия на ткани пародонта они могут на время еще более воспалиться, дать отек, что увеличит подвижность зубов. Шины нейтрализуют эти явления.
Временные шины накладываются также после удаления зуба, на время заживления пустой лунки. Постоянная шина-протез может быть наложена на подвижные зубы только после полного заживления раны и восстановления костной ткани, то есть примерно через 3 месяца. Кроме того, временные шины служат для ретенции (удерживания) зубов в новом положении после того, как они были перемещены туда ортодонтическими аппаратами.
Постоянные шины, как съемные, так и несъемные, сродни протезам. Их выполняет ортопед по схеме протезирования: по слепку делается модель, затем изготавливается восковая репродукция шины, делаются формы, производится литье, примерка и шлифовка. Очевидно, что такие шины предназначены для постоянного применения.
Несъемные шины могут иметь кольцевую, колпачковую, коронковую и другие формы. Современный способ шинирования - применение армирующего материала. В отличие от других, он не требует существенного подпиливания зубов.


