В отношении десен, надо признать, даже тщательная гигиена рта не всегда избавляет от воспаления.
- например отмечено, что отечность и кровоточивость десен появляются во время беременности, и имеют склонность к усилению к концу срока беременности
- такие заболевания, как диабет или лейкемия создают условия для развития воспаления десен
- десна могут воспаляться на фоне авитаминоза, особенно при нехватке витамина С
- существуют медицинские препараты, вызывающие отечность и кровоточивость десен.
![]() |
![]() |
![]() |
Поэтому перед применением лекарств всегда рекомендуется консультация с врачом. Большинство же воспалительных процессов в деснах вызваны деятельностью бактерий.
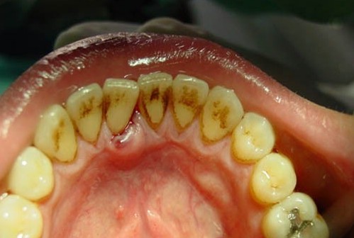
- Гингивит – воспаление слизистой оболочки десны. Не получая должного и своевременного лечения, болезнь осложняется, и развивается пародонтит.
- Зубной камень приводит к появлению десневых карманов – пространств между десной и зубом, которые заполняются твердыми и мягкими отложениями. Такое воспаление сопровождается выраженным неприятным запахом изо рта.
- Осложненный кариес приводит к воспалению десен, которое часто сопровождается развитием локального абсцесса.
- К воспалению десен могут привести инфекционные заболевания других систем органов. В этом случае лечение начинается с устранения основной причины.Начинать лечение воспалительных заболеваний надо в стоматологической клинике, после того, как будет поставлен четкий диагноз. Какие-либо народные средства пригодны в качестве укрепляющих и вспомогательных процедур. После снятия воспаления десны рекомендуется укреплять ее посредством приема витаминов, а также физиотерапевтических процедур. А лучшими средствами профилактики воспаления десен, являются регулярные осмотры у стоматолога, своевременная санация полости рта и профессиональная чистка зубных отложений.


