Лечение кариеса и эстетическая реставрация
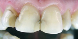
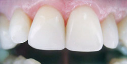
При среднем или глубоком кариесе (поражение дентина), скорость разрушения твердых тканей возрастает, и требуются серьезные методы лечения. При обнаружении глубоких повреждений, стоматолог проводит полную профессиональную обработку кариозной полости с ее последующим пломбированием. Главная задача — убрать разрушенные ткани, дезинфицировать образовавшуюся в зубе полость, создать условия для прочного удержания пломбы, добиться эстетического эффекта произведенной реставрации. Завершается лечение кариеса тщательной коррекцией пломбы по прикусу, ее полированием и нанесением на зуб фторсодержащего препарата.
![]() |
![]() |
| Глубокий кариес | После лечения и эстетической реставрации глубокого кариеса зуба |
Высокотехнологичное оборудование, уникальные пломбировочные материалы и многолетний опыт работы наших специалистов позволяют не только устанавливать и идеально корректировать по прикусу долговечную и надежную пломбу, но и достигать безупречного эстетического эффекта. Это особенно важно, когда дело касается восстановления передних зубов. В случае сильного разрушения стоматологи-терапевты проводят эстетическую реставрацию зуба, учитывая анатомию строения соседних зубов, их форму и их естественный цвет. Таким образом, врач не только восстанавливает функциональные свойства зуба, но и придает ему естественный вид, что делает улыбку безупречной.

